Dyspnée : quand faut-il demander un bilan - immuno-allergologique ? - Quadrimed
←
                            
                                                            
                                →
                                
                            Transcription du contenu de la page
                            
                        Si votre navigateur ne rend pas la page correctement, lisez s'il vous plaît le contenu de la page ci-dessous
                        Dyspnée : quand faut-il demander un bilan
       immuno-allergologique ?
                                       Lionel Arlettaz
                          Service d’Immunologie et d’Allergologie
                                Institut central des Hôpitaux
                                  Quadrimed, 26.01.2018
                                                                    janvier 18Plan : de quoi parle-t-on ?
Introduction    quelles sont les causes les plus fréquente de dyspnée
«asthme»        épidémiologie de l’asthme
                diagnostic d’asthme, intrinsèque vs allergique, asthme sévère
                rappel des bilans allergologiques disponibles
                quand et quels tests demander
« ILD »         épidémiologie : dyspnées associées à des ILD
                ILD associées à des connectivites, rappel
                rappel des bilans immunologiques disponibles
                quand et quels tests demander ?
Conclusion      « take home messages»
                                                                                janvier 18   |Plan : quand demander un bilan immuno-allergo ?
Dyspnées liées à des allergies
Rhinoconjonctivite et asthme allergiques
       Pneumopathies d’hypersensibilité
       Aspirin-exacerbated respiratory diseases AERD
       Aspergillose bronchopulmonaire allergique ABPA
Dyspnées associées à des maladies systémiques
                                            Polyarthrite rhumatoïde
Atteintes pulmonaires interstitielles       Sclérodermie
                                            Myosites inflammatoires
                                            Sjögren, Lupus, MCTD
       Vasculites : GEPA (Churg-Strauss), GPA (Wegener), MPA
       Hypertension artérielle pulmonaire
                                                               janvier 18   |Asthme : épidémiologie
235-334 millions d’asthmatiques, 250’000 décès / an !!
8.1 % de la population canadienne > 12 ans
                                               Allergy Asthma Clin Immunol 2017;13:48
Sapaldia :       étude de cohorte suisse : 8 régions suisses suivies depuis 1991
                 8'357 adultes, 18-60 ans
   Atopie            39,3 -> 26,6 %             Ville -> Campagne
   Pollinose         18 -> 6,4 %                Ville -> Campagne
   Asthme            6,1 -> 3,6 %               Plaine -> Altitude
                                               Int. Arch. Allergy Immunol. 1995; 149-156
                                                                                       janvier 18   |Asthme : diagnostic
Définition (GINA 2017)
Maladie hétérogène avec inflammation des voies aériennes
Définie par    -des symptômes respiratoires
                         sibilances, dyspnée, oppression, toux, …
                         qui varient en intensité avec le temps
                -une limitation variable du flux expiratoire
Diagnostic (GINA 2017)
  1. Symptômes compatibles : plus de 1 symptômes,
                        variation avec saisons, froid, effort
                        pire la nuit ou tôt le matin
                        aggravé avec des infections virales
  2. Démontrer l’obstruction ET la variabilité
                                                                    janvier 18   |Quand bilan faut-il faire un bilan allergo ?
Le bilan allergologique n’est pas nécessaire pour le diagnostic
L’asthme allergique représente env. 60% des asthmes
La reconnaissance de l’allergène permet :
                   -d’augmenter la probabilité du diagnostic
                   (symptômes reproductibles lors du contact avec l’allergène)
                   -d’orienter le traitement (par exemple prise saisonnière du traitement)
                   -de discuter une éviction de l’allergène si possible
                   -de discuter d’une désensibilisation
                                                                                 janvier 18   |Quand bilan faut-il faire un bilan allergo ?
Les signes et symptômes qui orientent vers une origine allergique :
   -présence d’autres symptômes allergiques (rhinite, conjonctivite)
   -présence d’une fluctuation saisonnière des symptômes
   -si symptômes perannuels       -> présence d’animaux à domicile ?
                                  -> variation avec les voyages ?
                                  -> accariens -> altitude ?
   -symptômes sur le lieu de travail…
   -antécédents familiaux, atopie (allergie alimentaire par exemple), …
                                                               janvier 18   |Asthme : quels tests allergologiques
IgE totale (17.5 pts)
IgE spécifiques (36 pts de 1 à 4, puis 21 jusqu’à 10 max)
Phadiatop (41pts), rx1, rx2 (36 pts)
Isac test (482 pts)
Test cutanés : Prick test, (Intradermo-réactions, patch tests)
                47 pts
                                                                 janvier 18   |Asthme : quels tests allergologiques
             Que se passe-t-il lors de l’activation du mastocyte : 1 + 2 + 3 !
                                                          1
                                                          2
                                                          3
Tiré de Middleton’s Allergy, Principles & Practice, 7th                          |
Edition.Asthme : quels tests allergologiques
                                              dégranulation
           LB Schwartz. Immunol Allergy Clin N Am 2006; 26:451-463   |Asthme : IgE spécifiques
    -dosés par ELISA
    -méthodes très sensibles (taux très faibles mesurables)
    -la liste d’allergènes est infinie… (utilité ?)
IgE spécifiques (mono-spécificités)
-pneumallergènes (certains) -> les plus utilisés pour l’asthme
-allergènes alimentaires -> anaphylaxie
-médicaments, venins, professionnels
Groupes d’allergènes
Phadiatop, rx1, rx2, …, mélanges aliments
Technologie BioChip
ImmunoCAP ISAC : 112 spécificités, 30ul sérum,
Semi-quantitatif
                                                                 janvier 18   |Asthme : IgE de dépistages
PhadiatopTM cladosporium, dermatophagoïdes farinae et pteronyssinus,
            chat, chien, cheval
            bouleau, olivier (=frêne)
            phléole, armoise, pariétaire
             Phléole, Armoise commune, Plantain,               Saisonniers
rx1
             Pariétaire, bouleau
rx2          D. farinae, Chat, Chien, Cheval, Alternaria       Perannuels
                En rouge : absents Phadiatop vs dans rx1-rx2
                                                                       janvier 18   |Asthme : Prick-tests
    Lecture à 15 minutes                                      Les pricks sont des tests fonctionnels
     + si papule > 3mm                                      in vivo, à la recherche d’IgE spécifiques
                                                                                    2x
                                                Epiderme
                                                         Mastocyte
                                                          cutané
                                                  Mécanisme : positifs si présence d’IgE spécifiques
Photos : site du Service d’immuno-allergologie du CHUV                                                  janvier 18   |Asthme : Prick-tests
    Tofranil
                       Allergy 67 (2012) 18–24   janvier 18   |Asthme : Prick-tests
                                         !
                        janvier 18   |
RMS F. Spertini. 2005Asthme : quels tests allergologiques
                        Prof. Ph. Eigenmann   janvier 18   |Asthme : quels tests allergologiques
  Origine allergique : probabilité faible
           Peu de variation saisonnière, pas de rhinite, pas de conjonctivite
           Asthme perannuel, aggravé par l’effort, aggravé en post-viral
           Pas d’antécédent personnels
           Pas de variation avec travail…
           Utiliser un test qui a une bonne VPN
           PhadiatopTM = test de dépistage global, qui cherche
           la présence d’IgE contre un mélange d’antigènes
                       cladosporium, dermatophagoïdes farinae et pteronyssinus,
                       chat, chien, cheval
                       bouleau, olivier (=frêne)
                       fléole, armoise, pariétaire
           Test négatif => «permet d’exclure» une origine allergique
                                                                                janvier 18   |Asthme : quels tests allergologiques
  Origine allergique : probabilité élevée, anamnèse très suggestive
           Prurit buccal, prurit généralisé, urticaire
           Toux, sibilances, dyspnée
           Après consommation d’un Snickers
           Un antécédent dans un restaurant chinois.
           Tester l’allergène en question, tests spécifiques
           IgE cacahuète
           Prick test avec cacahuète
           Test positif => permet de confirmer l’allergie à cet aliment
                                                                 janvier 18   |Asthme : quels tests allergologiques
   Origine allergique : probabilité moyenne… plus difficile
Femme 27 ans, BSH
Rhinite, conjonctivite de janvier-février à fin avril.
Parfois dyspnée, toux, la nuit durant la même période, asthme d’effort au printemps
Aucun symptôme l’hiver et l’été.
Prurit buccal et pharyngé de courte durée après consommation de pommes et de cerises.
Les autres aliments sont bien tolérés.
Elle possède deux chats et un canari
IgE totales = 120kU/L (norme < 103 kU/l)
                                                        Peu utiles dans le contexte
PhadiatopTM ?
                                                                         janvier 18   |Tests positifs pour :
mai à juillet              Graminées-céréales
                                Arbres
                        Acariens de la poussière
Janvier à avril
                         Interprétation clinique :
                      Rhinoconjonctivite allergique
                      et asthme aux pollens d’arbres
Juillet à septembre   Sensibilisation non pertinente
                         aux pollens de graminées-
                          céréales et aux acariens
                                         janvier 18   |Asthme : quels tests allergologiques
«Un test positif ne signifie pas forcément la présence d’une allergie»
       Atopique défini par « présence d’IgE ≥ 1 allergène(s) »
       Cela signifie que le contact avec de multiples allergènes
               induit la production d’IgE chez l’atopique
         sans pour autant que des symptômes surviennent
                Sensibilisation en l’absence d’allergie
     Risque de sur-interprétation des tests cutanés ou sanguins
                                                                   janvier 18   |Asthme : IgE vs Prick
Prick tests                   IgE spécifiques
Peu chers                     Plus chers
Rapide (15 minutes)           Délai avant réponse > 1j
Peu douloureux                Plus douloureux
Inhibés par des médicaments   PAS affectés par les médicaments
Dermographisme, eczéma…       PAS affectés par l’état de la peau
À éviter pendant grossesse    Préférés durant la grossesse
VPN excellente                Bonne VPP (si taux élevés)
Bonne sensibilité             Sensibilité varie selon les aliments
                              et les tests disponibles
Spécificité moyenne par       Spécifié idem, meilleure pour les
rapport au dx d’allergie      Recombinants.
                                                          janvier 18   |Autres avantage des tests cutanés
    Patiente non atopique
    Réaction anaphylactique avec prurit / urticaire, dyspnée
    Après avoir mangé une fondue aux bolets
    Symptômes cutanés après préparations de champignons
              IgE pour champignons : négatifs
                                                              Visibles par le patient
                                                           Meilleure sensibilité que IgE
                                                               Moins chers que IgE
                                                                              janvier 18   |Autres avantages des IgE
bouleau
                                        >12 groupes de protéines
                              PR10
                              Profilines
                       26um   Caclium-binding proteins
                              Isoflavone reductase
                              7S vicilin-like proteins
                                        …
                                                     janvier 18   |Allergènes classiques                Allergènes recombinants
                                       Synthèse par génie génétique
                                        Bet v1              Bet v2
                                     PR10 bouleau     Profiline bouleau
                                        isolé                isolée
                                     IgE positifs ?     IgE positifs ?
Extraits complets   IgE positifs ?
                                                              janvier 18   |Asthme : avantages des IgE
   Indication à doser des IgE ?
Permettent de distinguer entre sensibilisation à l’allergène majeur
du bouleau, ou sensibilisation à de multiples allergènes
         rBet v1            45        kU/l   (NAsthme sévère : 5 - 10% des asthmes
                            Définition
  Asthme qui requière des hautes doses de stéroïdes inhalés
          en association avec LABA et/ou stéroïdes po
pour être contrôlé (ou qui n’est pas contrôlé avec ce traitement)
    Les traitements biologiques peuvent aider dans ce cas
           Mais l’efficacité diffère selon les patients
         Le bilan complémentaire vise à sélectionner
             les patients susceptibles à répondre
           à l’un des traitements complémentaires
                                                            janvier 18   |Asthme sévère : 5 - 10% des asthmes
 Tout asthme sévère devrait bénéficier du bilan suivant :
       -Prick tests pour les aéro-allergènes
       -Dosage des IgE totales
       -Formule sanguine complète avec répartition (éosinophiles)
IgE totales entre 30-700kU/l
Sensibilisation pour au moins un allergène perannuel
Asthme sévère
          -> Xolair = omalizumab = anticorps monoclonal anti-IgE
Eosinophiles ≥ 0.3G/L dans l’année (≥0.15 G/L au début du ttt)
Asthme sévère
        -> Nucala = mépolizumab anticorps monoclonal anti-IL5
Asthma Biomarkers in the age of biologics. Allergy Asthma Clin Immunol 2017;13:48   janvier 18   |Dyspnées associées à des maladies inflammatoires
     ILD = interstitial lung disease = pneumopathies interstitielles
        Groupe large et hétérogène de maladies pulmonaires
                         avec en commun :
         « dyspnée, toux, infiltrats bilatéraux sur CT ou Rx »
      -idiopathiques : Idiopathic Interstitial Pneumonia (IIP)
      -granulomateuse : sarcoïdose…
      -secondaires : médicaments, maladies systémiques
      -autres : histiocytoses pulmonaires, …
        Important de reconnaître une ILD secondaire à connectivite
car le traitement est différent et le pronostic est meilleur (vs idiopathique)
                                                                      janvier 18   |Dyspnées associées à des maladies inflammatoires
 Applicable aussi à l’interniste : « y a-t-il une connectivite ? »
                                                                     janvier 18   |Dyspnées associées à des maladies inflammatoires
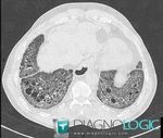
Idée : dypsnée d’effort progressive, sans argument pour cause cardiaque ou asthme
Auscultation pulmonaire : râles fins (velcro), prédominant aux bases
Rx de thorax montre des infiltrats bilatéraux, prédominant en sous-pleural et aux bases
                                                      Fonctions pulmonaires
                                                      Syndrome restrictif
                                                      Diminution de la DLCO
                                                         pneumologue
                                                                            janvier 18   |Dyspnées associées à pneumopathies interstitielles
                 Facteur Anti-Nucléaire : dépistage
                Anti-nucléoprotéines
                Facteur rhumatoïde et anti-CCP
                 Anticorps anti-cytoplasme des neutrophiles
                                                              janvier 18   |Dyspnées associées à pneumopathies interstitielles
                 Dépistage, antigène cible suspecté selon l’aspect.
                 Aspect nucléolaires et centromère -> sclérodermie
                 Aspect moucheté gros -> mixte connective tissue disease…
                 Myosites inflammatoires, anti-synthétases
                 Maladie de Sjögren
                Polyarthrite rhumatoïde
                 Micro-périartérite noueuse, GPA, GEPA
                                                                    janvier 18   |FAN et anti-nucléoprotéines
     Comment comprendre ces résultats ?
                                          janvier 18   |FAN et anti-nucléoprotéines
    Facteur anti-nucléaire, anti-nucléosome, anti-nucléoprotéines
 FAN : anticorps anormal spécifique d’une structure intracellulaire
                dans le noyau (pour les FAN «classiques»)
                mais aussi dans le cytoplasme (aspects cytoplasmiques)
 Recherche de FAN = test de dépistage
                implique la recherche de la spécificité de l’anticorps
                excellente VPN pour une connectivite
                bonne VPP si titre élevé pour maladie auto-immune
                                                                    janvier 18   |FAN et anti-nucléoprotéines
     Recherche de FAN : immunofluorescence sur HEp2
         HEp2 = lignée humaine tumorale (carcinome laryngé)
         Gros noyaux, beaucoup de divisions
         Expression d’un grand nombre de protéines
         Facilité de culture…
                                                              janvier 18   |FAN et anti-nucléoprotéines
          Deux incubations, puis lecture au microscope
                      3: microscope à UV
                                                   4 : lecture du titre
                                                   et de l’aspect de la fluo
2: dépôt du conjugué
= anticorps antiIgG humain
                                                1 : dépôt sérum patient
                                                                   janvier 18   |FAN et anti-nucléoprotéines
                              janvier 18   |FAN et anti-nucléoprotéines
                              janvier 18   |FAN et anti-nucléoprotéines
                              janvier 18   |FAN : le titre
La plus haute dilution du sérum qui donne une fluorescence visible
      1/1280
       Négatif         au seuil ------ positif ------ très positif
           Le sérum de tous les patients est dilué 160x
     Le lendemain, les positifs sont dilués jusqu’à max 1/2560
              Seuil de positivité utilisé à l’ICH = 1/160
           1/160 : env. 5% des donneurs sains sont positifs
           1/40 : env. 30% des donneurs sains sont positifs
NB : 1/640 ou 1/1280 … pas très différents… une seule dilution…
Arthritis Rheum. 1997;40(9):1601                                      janvier 18   |FAN : l’aspect -> noyau, mitose, cytoplasme
L’aspect de la fluorescence dépend de la cible de l’anticorps !!
L’aspect du FAN oriente vers le test de confirmation (identification)
L’aspect du FAN oriente vers le type de connectivite
       >30 différents aspects
       Peu de consensus pour définir les aspects à rendre…
       Centaines de structures qui donnent fluorescence
       Lupus, Sjögren, sclérodermie
       Myosites
       Hépatites
       Etc…
                                                                janvier 18   |FAN homogène
   Cible Ag
DNA natif, histone
  nucléosome
     Maladie
Lupus érythémateux
               janvier 18   |FAN moucheté gros
    Cible Ag
   U1RNP, Sm
     autres
    Maladie
    MCTD
    lupus
          janvier 18   |FAN centromère
  Cible Ag
  CENP B
  CENP A
  Maladie
Sclérodermie
      janvier 18   |FAN nucléolaire
     Cible Ag
   PM-Scl, Th/To
    RNApolIII
        …
      Maladie
      Myosites
Overlap myosite-SSc
   Sclérodermie
              janvier 18   |FAN
  Fluorescence nucléaire négative
Fluorescence cytoplasmique diffuse
                  Cible Ag
                Jo1, PL7, PL12
                   Maladie
                     Myosites
                  Inflammatoires
                 Anti-synthétases
                           janvier 18   |Une fois un FAN détecté  recherche de la spécificité
        Le FAN peut être négatif en présence d’anti-SSA, SSB et Jo1
            En cas de forte suspicion clinique, les rechercher même si le FAN est négatif
        Recherches d’anti-nucléoprotéines
        SSA, SSB, U1RNP, Sm, Jo1, Scl70
                                                                              ELISA
«routine»
                                                                              CLIA
        Recherches d’anti-nucléosomes                                         …
        Structure qui contient l’ADN natif et les histones
«sur demande»
            Pannels d’anticorps associés aux myosites
                                                                             Immunodot
            Pannels d’anticorps associés à la sclérodermie
                                                                                 janvier 18   |Signes et symptômes évocateurs de connectivites
                                                  janvier 18   |La technique ImmunoDot permet de détecter un grand nombre
  d’anticorps en un seul dosage
Ces anticorps sont recherchés en deuxième intention
Lorsque le bilan de ROUTINE est négatif
et qu’il existe des signes cliniques évocateur ou un FAN compatible
               Attention aux faux-positifs !!
      Ne pas sur-interpréter un résultat de dot isolé !!
                                                            janvier 18   |1. Le laboratoire : la technique du DOT
      dot « myosite »                 dot « sclérodermie »
       15 spécificités                    13 spécificités
                         Fournisseur : Euroimmun             janvier 18   |Une fois un FAN détecté  recherche de la spécificité
                          Homogène
                           Lupus ?
                         Anti-DNA natif
                                                       Nucléolaire
                                                      Sclérodermie ?
                                                     Dot sclérodermie
                        Cytoplasmique
                                             L’aspect du FAN oriente vers
                          Myosite ?       l’anticorps et donc vers la maladie
                                                 possiblement associée
                         Dot myosite
                                                                  janvier 18   |Dyspnées associées à pneumopathies interstitielles
                 Facteur Anti-Nucléaire : dépistage
                 Anti-nucléoprotéines
                  Jo1, SSA et SSB demandés d’emblée en cas de
                  forte suspicion clinique, car peuvent être «loupés» par le FAN
                Facteur rhumatoïde et anti-CCP
                 Anticorps anti-cytoplasme des neutrophiles
                                                                       janvier 18   |Take Home Messages : Bilan allergologique
L’allergie participe à l’asthme dans 60% des cas :
-un bilan allergologique est recommandé en cas de Dx d’asthme
-la reconnaissance d’une composante allergique aide à diriger le TTT
Le Phadiatop est un test de dépistage :
-qui contient 11 différents pneumallergènes fréquents.
-si ce test est négatif, il permet d’exclure raisonnablement
une origine allergique à l’asthme (faible probabilité pré-test d’allergie)
-les allergies alimentaires, aux hyménoptères ou à des pneumallergènes
plus rares ne sont pas détectés par ce test
Les prick-tests sont sensibles et bons marchés :
-pour le bilan d’un asthme allergique saisonnier ou perannuel
-des tests positifs n’impliquent pas forcément une allergie…
-il faut une concordance clinique entre tests et symptômes
                                                                 janvier 18   |Take Home Message : Bilan immunologique
Les ILD secondaires à des connectivites :
-doivent être reconnues
-le traitement et le pronostic sont différents des ILD idiopathiques
-un bilan immunologique est donc recommandé
Le FAN est un test de dépistage :
-qui permet d’orienter le diagnostic de connectivite :
        -selon l’aspect de la fluorescence nucléaire
        -selon la présence d’une fluorescence cytoplasmique
Anti-SSA, anti-SSB et anti-Jo1 (et autres anti-synthétases)
-peuvent être positifs malgré un FAN négatif
-doivent être recherchés spécifiquement
-sont associés au Sjögren (SSA-SSB) et à des myosites (Jo1)
                                                              janvier 18   |Take Home Message :
Si la clinique est évocatrice (myosite ou sclérodermie)
-le dot sclérodermie et le dot myosite permettent de détecter
un grand nombre d’anticorps non disponibles auparavant
dans des laboratoires de routine.
-ces tests sont demandés en deuxième intention, si la clinique
et un FAN positifs ne sont pas expliqués par le premier bilan
-attention aux faux-positifs occasionnels
-il faut une bonne corrélation entre FAN, clinique et anticorps trouvé
                                                              janvier 18   |Merci et bonne suite de congrès !!
                                     janvier 18   |Complément…
Critères ABPA
   1. Présence d’une condition prédisposant
        Asthme ou mucoviscidose
   2. IgE totales > 1000kU/l ET
            présence d’IgE spécifique pour aspergillus fumigatus
            en prick test ou détectable au laboratoire
   3. Au moins 2 des caractéristiques suivantes :
           présence de précipitines pour Aspergillus
           présence d’IgG spécifiques pour Aspergillus
           présence d’une éosinophilie périphérique
           présence d’une image radiologique compatible
Clin Exp Allergy 2013;43(8):850 et Clin Chest Med 2017;38:521   janvier 18   |Complément…
Suivi proposé chez asthmatiques «à fréquentes exacerbations»
     1x/an recherche d’IgE pour Aspergillus fumigatus
     Si positifs : dosage des IgE totales
     Si IgE totales > 1000kU/l : rechercher les autres critères
              Prick test pour Aspergillus ?
              précipitines pour aspergillus ?
              IgG pour aspergillus ?
              éosinophilie ?
     Si 2/4 sont retrouvés : CT thoracique
     Si CT pathologique : ABPA
     Si CT normal : ABPA séropositivité
  Clin Exp Allergy 2013;43(8):850 et Clin Chest Med 2017;38:521   janvier 18   |Vous pouvez aussi lire




























































